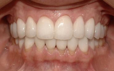
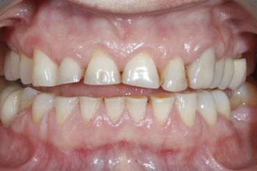
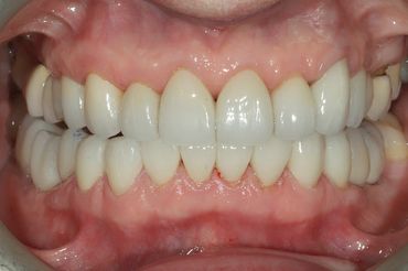
Our "before and after" dental work showcases the transformative results achieved through our comprehensive dental treatments. The "before" images highlight the initial condition of the patient's teeth, including any issues such as discoloration, misalignment, or damage. The "after" images display the remarkable improvements post-treatment, reflecting enhanced aesthetics, functionality, and overall oral health. These transformations demonstrate our commitment to delivering exceptional dental care and achieving beautiful, confident smiles for our patients.




Da Vinci Dental Studio Inc.
120 West Beaver Creek, Unit #17, Richmond Hill, ON L4B 1L2
Tel: (905) 762-0002
We use cookies to analyze website traffic and optimize your website experience. By accepting our use of cookies, your data will be aggregated with all other user data.